Our Mission
We are an extraordinary team that is uncompromising in our pursuit of superior dentistry and customer service. We will strive to anticipate our patients’ needs and take the time to identify their wants without making assumptions. As we showcase our dentistry, the treatment and experience we provide will far exceed our patients’ expectations, creating raving fans. We commit to stay humble and grateful for the opportunity to serve our patients. We will start each day enthusiastically and ready to “give it our all”. We pledge to have an open mind for the future and never stop searching for those things that inspire us to be excited about life.
Meet Our Team
Meet Dr. Gullikson
It was in seventh grade that Dr. Gullikson knew that he wanted to be a dentist. Both the health care industry and the artistry of dentistry intrigued him. He graduated from Titusville High School in 1981 and then went onto the University of Florida for an undergraduate degree in Microbiology. He then attended the University of Florida College of Dentistry. Upon graduating from dental school in 1989, he accepted a one year general practice residency at the University of Louisville.
In 1990, he returned to Titusville and began his practice and has been here since that time. Dr. Gullikson believes in life-long learning and has focused many hours (in addition to what is required) of his continuing education on functional aesthetics. He has taken several live-patient courses and has studied under some of the most renowned names in dental continuing education including Dr. Frank Spear (speareducation.com), Dr. Peter Dawson (dawsoncenter.com), and Dr. Larry Rosenthal (aestheticadvantage.com). He has served as a Peer Review Chairman for the Brevard County Dental Society since 1994. He also enjoys being a visiting faculty member for Spear Education at the Scottsdale Center of Dentistry in Scottsdale, Arizona. Dr. Gullikson treats patients as family and spends good quality time with each one so that he can understand their needs and wants. He has a well-trained and caring team that works to create an exceptional office experience for everyone that walks through the door. Patients comment daily on how much they enjoy coming to our office! It is our pleasure to help create smiles that are not only beautiful, but also healthy, comfortable and predictable for a lifetime. Dr. Gullikson and his wife, Lori, have five children—Eric, Amy, Kyle, Jenna, and Anna Jo. Thank you for taking the time to learn more about us!
Member: American Dental Association, American Academy of Cosmetic Dentistry, Florida Academy of Cosmetic Dentistry, and Academy of General Dentistry, Visiting Faculty Member of the Scottsdale Center for Dentistry
Kim
Financial Coordinator
I was born and raised in Cincinnati, Ohio. I moved to Florida in 1990 and have been with our team since 2000. My favorite things to do include spending time with family and friends, traveling, gardening and enjoying our beautiful beaches. I also am an avid fan of The Ohio State Buckeyes, Cincinnati Reds, Cincinnati Bengals and Boston Bruins.
Chelsea
Assistant
I was born and raised in Kissimmee, Florida, and I am a third generation Floridian. I attended Valencia Community College and the University of Florida to become a dental assistant. I have been in the dental field since 2000. I enjoy our patients and helping to give them the smile that they have always dreamed of. I am married and have two small, beautiful children. We enjoy traveling, boating, and racing dirt bikes and ATV’s.
Kim
Hygienist
I moved to Titusville in 1965 at six years old, I had a wonderful life in middle-class suburbia. After graduating from Titusville High in 1977, I joined the United States Navy. I was off on my first big adventure. I attended dental assisting school and later was trained in oromaxillofacial surgery. While I enjoyed traveling the world, I had a family with two small children to think of, so I was honorably discharged in 1991. I attended dental hygiene school while still in the service and graduated in 1989. I married the love of my life, Robert, in 1992. I have been with our practice since 1996 and I enjoy what I do. I have not lost my love of travel, and my passion is scuba diving – wherever the ocean is warm and the breeze is blowing.
Testimonials


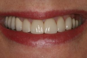
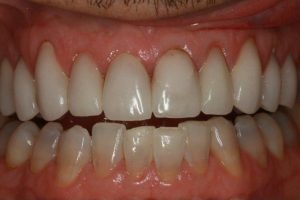
“If I had known how much a new smile would improve my self confidence, I would have done this years ago. I would recommend this procedure to anyone who is self conscious about their teeth. It is a GREAT investment!”
– Bill P.


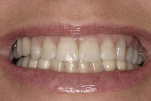
“Several years ago I noticed my teeth were starting to shift forward causing the front teeth to be crooked. I thought at my age braces would not be a good thing. After discussing (several times with Dr. Gullikson) we decided that veneers and ceramic crowns would be the way to go. It was a GREAT decision! I am so pleased with the results.”
– Jill B.


“The reason I chose Dr. Gullikson to perform my dental work is trust. I had complete trust that I would receive the best care – I never doubted that I would be satisfied once my case was complete.
I worked with Greg and his staff for over two years. My orthodontist even commented that Dr. Gullikson was the best choice for the work I would be having done and they communicated very closely during that part of my treatment.
Dr. Gullikson was very careful in his choice of dental labs, saying that he used different labs that offered the best quality for each step of my treatment. My precision partial and permanent bridge fit perfectly and neither needed adjustments, thanks to the time he spent properly fitting them while they were being manufactured. His recommendation on how to construct my veneers was right on the money. I could not be happier with the way they turned out. Although I have a ‘perfect smile’, it looks completely natural because of the shape and lengths he suggested.
I highly recommend Dr. Gullikson to anyone looking for quality dental treatment. He and his entire staff are simply the best!”
– Donna E.


“Throughout my childhood I was prescribed the antibiotic Tertacycline. As I grew older, my teeth became heavily discolored with a grayish tint. Because of that, I was very conscious of my smile to the point of keeping my lips together and barely grinning. But now, thanks to Dr. Gullikson’s expertise with porcelain veneers, I not only smile as wide as I can but enjoy the confidence and compliments gained from this life-changing enhancement.”
– Steve S.


My teeth used to be stained and crooked. Now I have a beautiful, natural looking smile. I could not be happier. Dr. Gullikson does exceptional work, and I heartily recommend him. Thanks Dr. G.
-Bonnie E.